The recurrent artery of Heubner is a branch off the proximal A2 or distal A1 segment of the anterior cerebral artery (ACA) and supplies the head of the caudate nucleus, as well as a small part of the internal capsule and putamen.
The artery is also sometimes called the medial striate artery or long central artery.
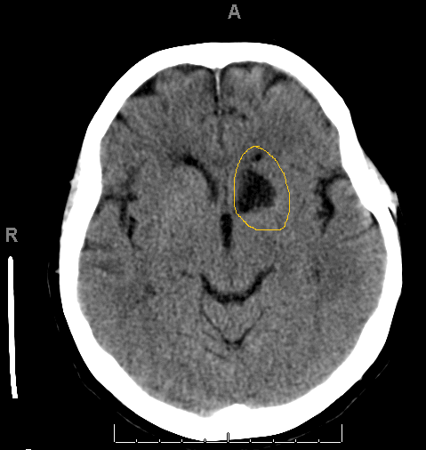
Occlusion of Heubner’s artery sometimes occurs during clipping of an anterior commissure aneurysm, and results in an ischemic infarction of the head of the caudate that manifests in the days after the surgical procedure. The CT image shows an infarct of the caudate possibly as a result of clipping of an ACom aneurysm and sacrifice of the recurrent artery of Heubner.

Figure: infarction of the left artery of Heubner
The clinical syndrome after medial striate artery occlusion includes contralateral arm and face weakness with or without dysarthria, and hemichorea from basal ganglia injury. Bilateral occlusion can result in akinetic mutism.
This video of an ACom aneurysm clipping (the video starts at the point where the aneurysm is first visualized) shows the tight relationship among the distal A1, proximal A2 and an aneurysm and the difficulty identifying smaller vessels like the recurrent artery of Heubner (not clearly visualized).
This is a high-yield topic when prepping for advanced shelf and board review exams.