ADEM

ADEM (acute disseminated encephalomyelitis) is an autoimmune demyelinating disorder distinct from multiple sclerosis or Devic’s disease. Read more »
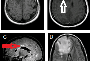
Tumefactive MS on MRI

Tumefactive multiple sclerosis

Tumefactive multiple sclerosis (MS) is an unusual but important manifestation of multiple sclerosis. Read more »

Dr. Anthony Reder – advice for the resident and MS fellow

Dr. Rui Guan interviews Dr. Anthony Reder, an MS specialist at the University of Chicago. This article, geared to residents and fellows, gives insight into Dr. Reder’s world. Read more »

Chat with MS practice expert – Dr. Anthony Reder

Multiple Sclerosis expert Dr. Anthony Reder from the University of Chicago Department of neurology is interviewed by Dr. Rui Guan on topics in MS of interest to neurologists and general practitioners alike. Read more »

Expanded disability status score for MS

Disability progression is assessed by the Expanded Disability Status Score (EDSS). To make sense of the scale from 0 (normal neuro exam) to 10 (death due to MS), a few pointers: Read more »

Uthoff’s phenomenon

Uhthoff’s phenomenon describes the worsening of multiple sclerosis symptoms with overheating, e.g. exercise, hot weather, or saunas, which cause conduction delay or block in a demyelinated nerves. In practice, even a change... Read more »

MS update – September 2013

“Multiple sclerosis (MS) does not really remit” was the opening theme of this weekend’s conference. Lead by three MS-experts, Drs. Omar Khan, Guy Buckle, and Stephen Krieger, a roomful of neurology residents... Read more »
Dawson's fingers of MS

Multiple Sclerosis

MULTIPLE SCLEROSIS is aptly named for the scleroses (scars or plaques) that occur as the disease resurfaces in multiple episodes. Read more »

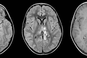
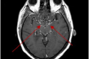
Neurosarcoid

Sarcoidosis is a systemic inflammatory condition with a specific pathology – non caseating (unlike TB) granulomas. The condition affects the lungs , bones and brain. Neurosarcoid occurs in about 5-10% of patients... Read more »

Bell’s Palsy

An idiopathic palsy of the facial nerve (cranial nerve VII) which results in ipsilateral weakness of the facial muscles. Read more »