Mesial temporal sclerosis (MTS, also called hippocampal sclerosis) is the most common underlying cause of temporal lobe epilepsy (TLE). The etiology is uncertain, although prolonged febrile seizures and limbic encephalitis have been implicated.
Diagnosis: Mesial temporal sclerosis

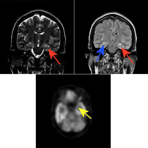
Figure 1: A. Coronal T2 weighted, B. Coronal FLAIR. Arrows point to the mesial temporal lobes. Blue arrow points to the right hippocampal formation which is normal in size and signal intensity. Red arrow points to the left hippocampus which is smaller and more T2/FLAIR signal hyperintense relative to the right. C. Axial PDG-PET. Yellow arrow points to relative hypometabolism of the cortex in the left mesial temporal lobe relative to the right.
The pathogenesis involves the selective loss of neurons in the hippocampus (especially CA1 pyramidal cells and hilar interneurons), reactive gliosis and the subsequent reorganization of neural networks.
MTS usually presents in childhood, typically between 6 and 10 years but may first manifest in adulthood. Initial management is with antiepileptics but MTS often progresses clinically and becomes refractory to medical management. Surgical options including mesial temporal lobectomy are possible in medically refractory cases but additional testing is required to ensure that surgery does not damage language and memory functions.
MRI is the neuroimaging modality of choice in MTS. The affected hippocampus demonstrates volume loss and increased T2/FLAIR signal corresponding to gliosis. Fluorodeoxyglucose position emission tomography (FDG –PET) is also helpful in the diagnosis, demonstrating decreased radiotracer uptake in the mesial temporal lobe due to the loss of metabolically active cortical neurons.
Selected References
BradleyW, Daroff R, Fencihel G. “Epilepsy” Neurology in Clinical Practice. 4th Ed. Elsevier 2004 1972-1973
Up to date. “Localization Related (Partial) Epilepsy : Causes and Clinical Features”. Available at www.uptodate.com