Early Signs of Stroke on CT

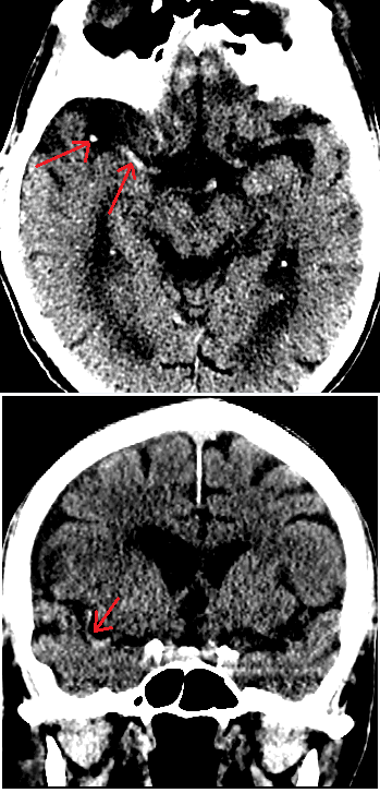
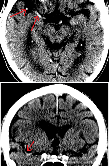
Dense MCA sign in R hemisphere

Despite its poor sensitivity for detecting embolic strokes, head CT scan remains the initial imaging modality in the work up of suspected acute stroke. The rationale is to initially rule out hemorrhagic stroke and other intra-cranial hemorrhages, for which CT is the preferred imaging modality because of its sensitivity for detecting fresh blood and its rapidity.

Early CT signs of Stroke

It can be helpful in detecting embolic strokes within the 3-hour TPA window as well. The signs are most useful in trying to identify acute MCA infarct, and should be correlated with findings on the neurological exam. The commonly used signs of embolic stroke on head CT include:

  • “Dense MCA sign” is caused by opacification of the MCA by a thrombus. When noted this is likely to be in the horizontal body of the MCA coming off of the Circle of Willis, but more subtly can also be sometimes seen in a branch of the MCA. In the figure below the right MCA is dense and both an MCA “dot sign” as the MCA enters the Sylvian fissure and a linear section of MCA coming off the Circle of Willis and running along the skull base are visible in the axial cut. In the coronal section a long curved portion of the MCA is clearly visible.
Dense MCA sign in R hemisphere
  • Loss of grey-white border, usually with hpyoattenuation of the grey matter.
  • Because basal ganglia are frequently involved in MCA stroke, blurring of the basal ganglia on the affected side is an important sign of acute MCA CVA.
  • “Insular ribbon sign” which results from swelling in and around the insular cortex such that the insular cortex becomes hypodense.

Usefulness of CT signs of CVA

A 2005 meta analysis (Wardlaw and Mielke) of the utility of these CT signs suggested:

From their abstract: The mean sensitivity and specificity for detection of early infarction signs with CT were 66% (range, 20%–87%) and 87% (range, 56%–100%), respectively. Experience improved detection, but knowledge of symptoms did not.

Acute stroke on CT examples, with further discussion of CT signs of acute stroke.

References

The Radiology Assistant: http://www.radiologyassistant.nl/en/483910a4b6f14#a483fad2fc1c7a

Joanna M. Wardlaw, FRCP, FRCR, MD Orell Mielke, MD. (2005)  Early Signs of Brain Infarction at CT: Observer Reliability and Outcome after Thrombolytic Treatment—Systematic Review. 10.1148/radiol.2352040262 May 2005 Radiology, 235, 444-453. http://radiology.rsna.org/content/235/2/444.short

 

Recommended For You

About the Author: Naoum P. Issa MD PhD