Band heterotopia is a congenital disorder that results from the disrupted migration of neurons. Neurons originate in the germinal matrix adjacent to the ventricules and ultimately migrate outward to form the grey matter of the brain parenchyma. When this process is incomplete, islands of grey matter can be found within the white matter, a condition known as hetertopia.
Diagnosis: Band Heterotopia

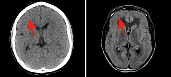
Figure 1: A: Axial non contrast head CT demonstrates a rind of subcortical tissue isodense to cortex (red arrow). B: Axial FLAIR MRI demonstrates a band of signal similar to cortex throughout the subcortical white matter (red arrow).
Band heterotopia is one form of heterotopia where the abnormal grey matter ribbons the subcotical space giving the appearance of a duplicated cortical layer. Children most commonly present with developmental delay and / or seizures. Treatment is symptomatic and may include antiepileptics or surgical resection for intractable partial seizures.