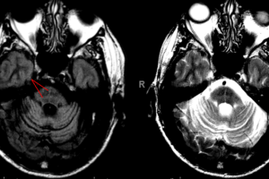
MSA hot cross buns sign

Multi-systems atrophy is a progressive neurodegenerative disorder often initially difficult to differentiate from Parkinson’s Disease. Patients present with autonomic instability (fainting due to orthostasis, fluctuating heart rate, urinary incontinence or difficulty emptying... Read more »
Characteristic 1 Hz spike and wave EEG of CJD

Creutzfeld-Jacob Disease

Creutzfeld-Jacob disease is a rapidly progressive spongiform degeneration of the brain due to the accumulation of misfolded prion proteins (PRNP). Read more »

Restless leg syndrome

Restless leg syndrome (RLS) is a common neurological disorder with a prevalence of 5 to 10%. A sensorimotor disorder characterized by the urge to move one’s legs often accompanied by uncomfortable, unpleasant leg... Read more »

Drug Therapy for Alzheimer’s Dementia

Alzheimer’s dementia (AD) is the most common cause of dementia in western society.  Disease specific treatments that are currently available do not appear to alter the course of the illness, though may... Read more »

Evaluating Tremors

Tremors are the most common movement disorder encountered in clinical practice and can be defined as an involuntary, rhythmic, oscillatory movement of a body part. While tremors predominantly affect the upper extremities... Read more »
Vitamin B12 and methionine synthesis

Vitamin B12 Deficiency

Cobalamin (Vitamin B12) derivatives are cofactors in the synthesis of both amino acids and purines. B12 deficiencies, as a result, cause problems with both DNA and protein synthesis. Read more »