Carnitine palmitoyltransferase (CPT) deficiency

Carnitine palmitoyltransferase II (CPT) deficiency is the most common inherited lipid-metabolism disorder in skeletal muscle. Read more »
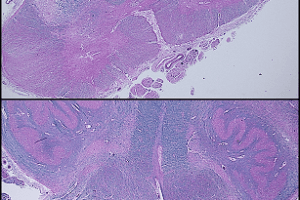
McArdle disease, H&E and PAS stain

McArdle Disease

McArdle disease is a glycogen storage disease in which the enzyme muscle myophosphorylase is deficient. It is commonly known as glycogen storage disease V. Read more »
Mitochondrial myopathy seen on H&E stain, trichrome stain, CO stain

Mitochondrial myopathy

Mitochondrial myopathy can be caused by metabolic abnormalities related to mutations in the mitochondrial genome or mutations in the somatic genome that produce abnormal mitochondrial proteins. Read more »
Pompe's disease

Pompe disease

Pompe disease is an autosomal recessive lysosomal glycogen storage disease. Mutations in the acid alpha-glucosidase (GAA) gene on chromosome 17q25.2-q25.3 result in abnormal accumulation of glycogen within lysosomes and subsequent lysosomal dysfunction. Read more »
ALS spinal cord pathology

Motor Neuron Disease

Loss of motor neurons in either the motor cortex or the anterior horn of the spinal cord causes paralysis. A variety of diseases affect these neurons, and specific diseases affect either the... Read more »

Acetylcholine Pharmacology

Brief review of the clinical pharmacology of acetylcholine, acetylcholinesterase and the ach receptor. Read more »

High Yield Acetylcholine and Ach Receptors

A summary of high yield clinical topics related to acetylcholine chemistry and acetylcholine receptors. Read more »

Acetylcholine

Acetylcholine is one of the major neurotransmitters in the mammalian nervous system, found at all neuromuscular junctions, at all synapses in autonomic ganglia, at a variety of locations in the CNS and... Read more »

Nernst Equation

The Nernst equation describes the voltage across a cell membrane at which there would be no net flow of a particular ion (assuming there are ion channels that passed that ion). This... Read more »
The equivalent circuit of a neuronal cell membrane.

The Neuron Equivalent Circuit

The electrical properties of neurons can described in terms of electrical circuits. This approach helps us understand how a neuron behaves when current flows into it (for example, when ion channels open),... Read more »