PRES is an disorder of cerebrovascular autoregulation commonly associated with hypertension and previosly referred to as eclampsia. Poor sympathetic regulation of the posterior cerebral arteries makes PRES more likely to involve the posterior circulation, especially the parietal and occipital lobes.
Diagnosis: Posterior Reversible Leukoencephalopathy syndrome (PRES)

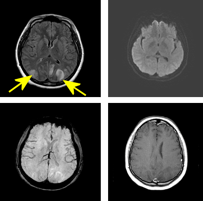
Figure 1: Top left. Axial FLAIR demonstrates bilaterally symmetric subcortical T2/FLAIR signal abnormality with a posterior predominance, yellow arrow. There is no restricted diffusion to suggest infarct (top right), no increased susceptibility to suggest hemorrhage (bottom left) and no contrast enhancement (bottom right).
Hypertension and other less common etiologies (medications, sepsis) can damage the vasculature, disrupting autoregulation and leading to breakdown of the blood brain barrier with vasogenic edema accumulating in the cortex and subcortical white matter. Petechial hemorrhage can be seen but large intracranial hemorrhage and infarcts are far less common. Patients may present with headache and seizures. Treatment of the cause (blood pressure control, stop offening medication) usually results in resolution of the symptoms and imaging findings.
References
Posterior reversible encephalopathy syndrome and venous thrombosis. Petrovic BD, Nemeth AJ, McComb EN, Walker MT.Radiol Clin North Am. 2011 Jan;49(1):63-80. Review.