Menu
Neurology Reviews
Inflammatory and Demyelinating Diseases
Seizures & Epilepsy
Neurotrauma
Pages
Categories
Neurology Reviews
Inflammatory and Demyelinating Diseases
Seizures & Epilepsy
Neurotrauma
Tag:
cat scan
Neuro-vascular Diseases
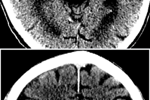
Early Signs of Stroke on CT
Naoum P. Issa MD PhD
—
June 3, 2012
comments off
Despite its poor sensitivity for detecting embolic strokes, head CT scan remains the initial imaging modality in the work up of suspected acute stroke. The rationale is to initially rule out hemorrhagic...
Read more »