Supplementary Motor Area Aphasia

A  form of trans-cortical motor aphasia (TCMA), Supplementary Motor Area aphasia can occur in strokes of the Anterior Cerebral Artery (ACA) on the dominant hemisphere. Read more »

Stroke, Cerebrovascular Accident, CVA

When an area of the brain experiences a sudden loss of blood, the event is called a stroke or cerebrovascular accident. Accompanying this circumstance is a loss of neurologic function. Strokes are... Read more »

Middle Cerebral Artery Territory Infarct

The middle cerebral artery is the major supplier of blood to the cerebral cortex. It consists of 4 principal segments, M1-M4. M1 refers to the horizontal course of the artery from its... Read more »

Acute Infarct on CT

The recent use of intravenous tissue plasminogen activator (TPA) to treat acute stoke has resulted in the introduction of “code strokes” in many emergency rooms, which typically require the coordinated efforts of... Read more »

Posterior Cerebral Artery

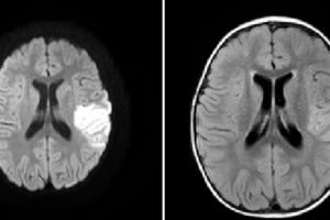
Acute infarcts lead to cell swelling in a process called cytotoxic edema. Signal in diffusion weighted MRI (DWI) is inversely related to the degree of brownian motion of intraparenchymal water. When an... Read more »
Dense MCA sign in R hemisphere

Early Signs of Stroke on CT

Despite its poor sensitivity for detecting embolic strokes, head CT scan remains the initial imaging modality in the work up of suspected acute stroke. The rationale is to initially rule out hemorrhagic... Read more »