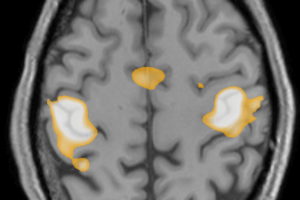
fMRI showing activity in the hand region of the primary motor cortex.

Functional MRI

Functional MRI (fMRI) is a new imaging modality that allows for dynamic evaluation of brain function in addition to structure. In the brain, blood flow is tightly coupled to neuron function. Read more »

Nonobstructive Hydrocephalus – Normal Pressure Hydrocephalus

The most common cause for enlargement of the ventricles is ex vacuo dilation due to atrophy of the cerebral parenchyma. It is important to distinguish ex vacuo ventricular dilation from true enlargement... Read more »

Obstructive Hydrocephalus – Colloid Cyst

Hydrocephalus refers to enlargement of the ventricular system and two broad categories are recognized – communicating and noncommunicating. Read more »

Choroidal Fissure Cyst

A number of pathological processes affect the limbic system. Patients with longstanding temporal lobe seizures can develop mesial temporal sclerosis, a condition characterized by atrophy of the hippocampus. Neoplasms, both benign and... Read more »

Limbic System Anatomy

The limbic (derived from the latin limbus, to border or edge) system is a network of structures centered in the medial temporal lobe. These structures or their analogs are found in the... Read more »

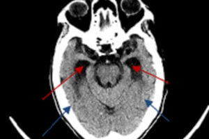
Cavernous Sinus Anatomy

Situated in the midline just above the skull base and bridging the sphenoid and temporal bones, the cavernous sinus is a collection of venous channels that serves as a major conduit for... Read more »

Brain MRI Spectroscopy

What is brain MR spectroscopy used for? MR spectroscopy gives a chemical profile of a region of brain. This is useful in differentiating normal brain tissue from tumor, regions with ischemia, or... Read more »