Hydrocephalus refers to enlargement of the ventricular system and two broad categories are recognized – communicating and noncommunicating.
Diagnosis: Colloid cyst


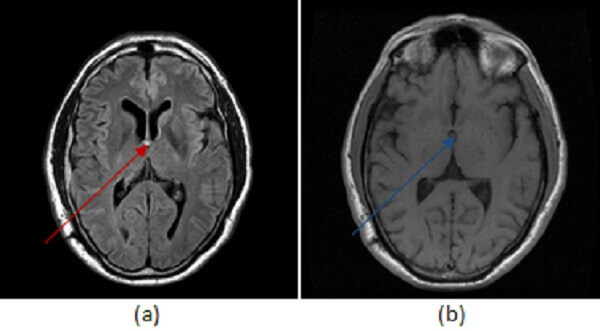
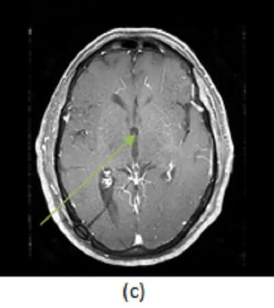
Figure 1: circumscribed FLAIR hyperintense mass at the foramen of Monroe (a, red arrow) is iso to slightly hyperintense to CSF on T1 sequences (b, blue arrow) and does not enhance on post contrast T1 imaging (c, green arrow) .
The most common cause for enlargement of the ventricles is ex vacuo dilation due to atrophy of the cerebral parenchyma. It is important to distinguish ex vacuo ventricular dilation from true enlargement of the ventricles (hydrocephalus) . Imaging findings suggestive of hydrocephalus include enlargement of the temporal horns, convexity to the third ventricle with distention of the anterior recess and rounded corpus callosum, flattening and effacement of the sulci and transependymal fluid in the periventricular white matter (manifested by decreased attenuation on CT and increased T2 signal on MRI).
Noncommunicating hydrocephalus is usually due to obstruction of ventricular outflow most commonly at the third ventricle. Many etiologies are recognized, congenital (aqueductal stenosis), extraventricular neoplasms (in sellar, parasellar, pineal, and tectal locations), intraventricular neoplasms (colloid cyst, ependymoma, papilloma, neurocytoma) , infection (cysticercosis), and prior trauma/inflammation (clots or synechiae).
Colloid cyst is a benign congenital cystic mass that originates from the foregut like other brain cysts (neurenteric and Rathke’s cleft). The mass is typically hyperdense on CT, variable signal on T1 and T2 depending on its water /cholesterol content, nonenhancing and centered in the foramen of Monroe. Although benign, colloid cysts can cause sudden ventricular obstruction leading to rapid onset hydrocephalus and transtentorial herniation resulting in sudden death. Approximately 50% are asymptomatic. Headache is the most common presenting symptom.
Due to the risk of sudden ventricular obstruction, even for cysts of small sizes, most colloid cysts are surgically resected using endoscopic or stereotactic techniques.