Astrocytoma

Neoplasms of the astrocytes (astrocytomas), are the most common form of primary brain neoplasm. The prognosis for astrocytomas depends on their grade and is better for low grade than high grade neoplasms. Read more »
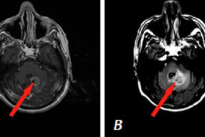
Tumor in the CPA

Vestibular Schwannoma

Vestibular schwannomas are benign extra-axial neoplasms that result from proliferation of the schwann cells associated with the eighth (vestibulo-auditory) cranial nerve. The commonly arise in the cerebellopontine angle and may extend along... Read more »
sagittal section showing craniopharyngioma

Craniopharyngioma

Some differential considerations for a partially cystic sellar/suprasellar mass include a cystic macroadenoma, Rathke’s cleft cyst, cranipopharyngioma, aneurysm, arachnoid cyst and epidermoid. Read more »

Posterior Fossa Metastasis

The differential diagnosis for an intra-axial posterior fossa mass depends on the age of the patient. The most common causes are juvenile pilocytic astrocytoma, medulloblastoma and ependymoma in a child and metastasis... Read more »