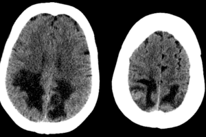
Case: PRES or mets?

Case history: 55 year old female with history of lung adenocarcinoma presents with difficulty seeing. She was treated with carboplatin and paclitaxil two months prior to admission. CT head showed hypodensities in... Read more »
Attribution: 2006-02-19 22:01 Accrochoc through http://en.wikipedia.org/wiki/File:NF-1-Tache_cafe-au-lait.jpg Creative Commons Attribution-Share Alike license

Clinical Findings of Neurofibromatosis-1

Neurofibromatosis is a condition that can involve almost any organ system. It can be divided into two major subtypes, neurofibromatosis 1 (NF-1, traditionally known as Von Recklinghausen Disease) and neurofibromatosis 2 (NF-2). A... Read more »

Radiation Necrosis

Radiotherapy is commonly used as an adjuvant therapy to surgery and chemotherapy in the management of primary brain neoplasms. Radiation destroys cells and damages the tumor blood supply. Addition of radiation therapy... Read more »

Residual/Recurrent Tumor

Imaging plays an important role in the diagnosis and management of patients with primary brain neoplasms. In particular, imaging is typically performed within 48 hours of tumor resection. Read more »

Tectal Plate Glioma

Masses of the pineal region can be divided into pineal and non pineal. Non pineal masses can arise from any of the structures in the region and include glioma (from the tectum... Read more »

Pineoblastoma

Tumors of the pineal gland can be categorized into pineal cell and germ cell depending of their cell type of origin. Unlike germ cell tumors, pineal cell tumors tend to expand the... Read more »

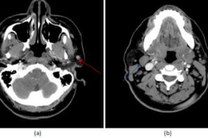
Parotid Lymphoma

Parotid masses are often seen incidentally on CT scans of the brain and neck. The most common primary parotid mass is the benign mixed tumor (also known as a pleomorphic adenoma). These... Read more »

Paraganglioma

Paragangliomas are rare neuroendocrine tumors that originate In the glomus cells of the sympathetic nervous system. The most common location is the carotid space, either involving the carotid body (glomus cells involved... Read more »

Orbital Lymphoma

The differential diagnosis for an orbital mass is extensive and includes both benign (cavernous hemangioma, sarcoid, varix, meningioma and pseudotumor) and malignant (orbital lymphoma, metastasis, glioma) lesions. Read more »

Neurofibromatosis

Also known as Von Recklinghausen’s disease, neurofibromatosis (NF) is an inherited neurocutaneous syndrome with systemic manifestations, the most notable of which is the occurrence of multiple neurofibromas. Read more »