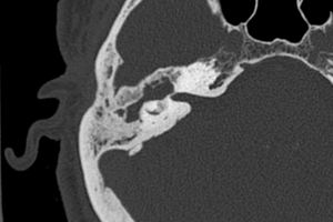
Labyrinthitis Ossificans

What anatomic structure of the middle or inner ear is abnormal in this patient with hearing loss and a history of childhood meningitis? Read more »

Anton’s Syndrome

Anton’s syndrome consists of cortical blindness without the patient acknowledging or recognizing that they cannot see. The patient confabulates, answering questions about what they cannot see with confidence and insisting they can... Read more »
Facial colliculus MRI

Facial colliculus

The facial colliculi sit on the dorsal aspect of the pons, forming part of the floor of the fourth ventricle. Both facial colliculi are highlighted in the image below. Read more »

Oculocephalic Reflex

The oculocephalic reflex is also called the doll’s eye reflex, so named because dolls that have movable eyes exhibit the same eye movement. Read more »

Temporal Arteritis

Temporal arteritis is a commonly used term that refers to an inflammation of the temporal artery. There is some confusion about terminology since this entity is also referred to as giant cell... Read more »

Optic Neuritis

Optic neuritis is inflammation of the optic nerve. It is principally due to demyelinization and is closely associated with multiple sclerosis (MS). Read more »

Dizziness

As a complaint, dizziness and vertigo are as common as back pain and headache. Any seasoned primary care physician will testify to the difficulties posed by dizzy patients. They can be both... Read more »

Acute Hearing Loss

Acute hearing loss can be secondary to a simple, common cause or can be what is considered a medical emergency. It is a circumstance that should be looked upon as serious until... Read more »

Acoustic Neuroma

Acoustic neuromas (more properly called vestibular schwannomas) arise from the Schwann cell sheath of either the vestibular or the cochlear nerve. They account for four-fifths of cerebellopontine angle tumors (the remaining 20%... Read more »

Vision Loss

Acute vision loss may be caused by central retinal artery occlusion, central vein occlusion, temporal arteritis, optic neuritis, optic neuropathy, vitreous hemorrhage, retinal detachment, neovascular age-related macular degeneration, stroke, hysterical conversion reactions,... Read more »