What anatomic structure of the middle or inner ear is abnormal in this patient with hearing loss and a history of childhood meningitis?

A. Ossicular chain
B. Otic capsule
C. Oval window
D. Cochlea
Answer: This cochlea is ossified; the cochlea is normally fluid filled and therefore low density on CT.

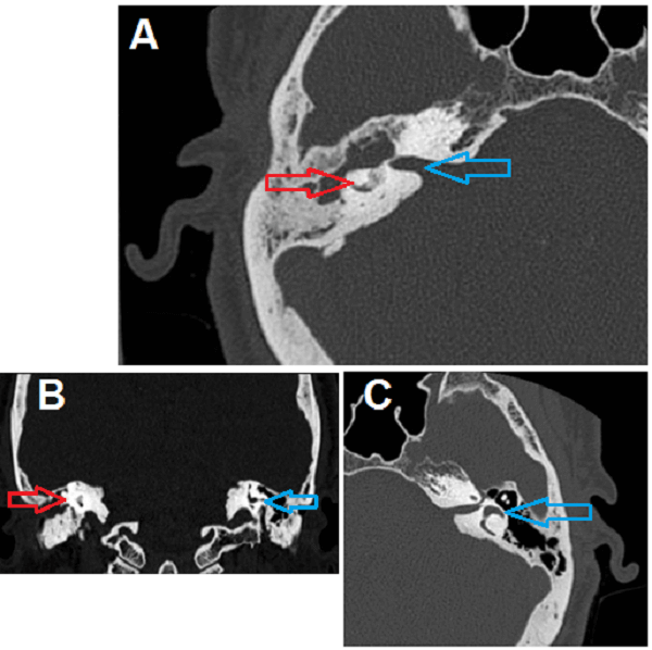
(A) axial non contrast CT of the temporal bone demonstrates hyperdensity within the right cochlea (red arrow) consistent with ossification. Compare to the mixed soft tissue/fluid density of the adjacent internal auditory canal (IAC, blue arrow) and the cochlea on the opposite side marked in blue in (B) and (C).
Discussion of labyrinthitis ossificans
The cochlea is a critical structure of the inner ear responsible for converting sounds ways into neural activity. Sound waves pass though the external ear, causing vibrations of the tympanic membrane. These vibrations are transmitted through the middle ear by the ossicles – malleous, incus and finally the stapes, which transmits these vibrations to the cochlea at the round window. Wound within the cochlea is the 8th cranial nerve. Hair cells on the nerve endings respond selectively to sounds within a specific frequency range such that cells closest to the stapes respond selectively to high frequencies and those cells further away respond selectively to low frequencies. In this way the inner ear deconstructs sound into frequencies with specific spatial relationships – a tonotopic map of neural activity that is transmitted from the 8th cranial nerve to the medial lemnisci, inferior colliculus, thalamus and ultimately the temporal cortex.
In addition to the 8th cranial nerve, the cochlea contains fluid and this fluid gives it a low density on CT (just like CSF). Meninges also line the cochlea and when damaged– such as from meningitis or trauma the meninges initiate an inflammatory cascade which can sometimes be seen as cochlear enhancement on MRI or CT in the acute phase. Over the long term there may be sclerosis or adjacent bone and rarely ossification of the labyrinth. Treatment is supportive.