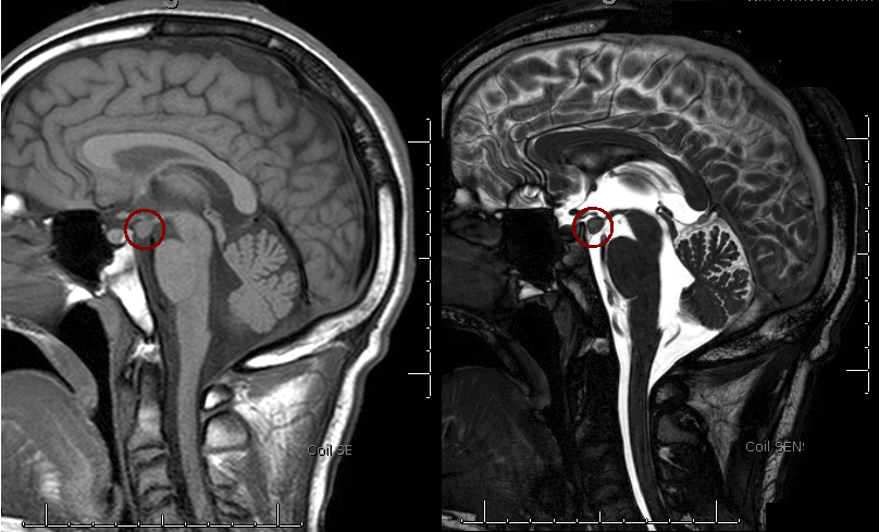
Hypothalamic Hemartoma and Gelastic Seizures

The MR images show an abnormal growth hanging down from the hypothalamus. This is a hypothalamic hemartoma, which in some cases can be a type of grey matter heterotopia within the tuber cinereum. It is usually a non-neoplastic congenital abnormality that can result in stereotypical seizures and behaviors.

The classic clinical picture is of a male (slightly more frequent than in females) with precocious puberty and fits of uncontrolled energy accompanied by either laughter or crying – the so-called gelastic seizures. A gelastic seizure can often be followed by other types of seizures including atonic (drop-seizures), simple partial, or complex partial seizures. Gelastic seizures are difficult to control completely with anti-epileptic drugs but the medications used for partial complex epilepsy can often reduce seizure frequency.

About half the cases of hypothalamic hemartoma are associated with Pallister-Hall Syndrome. Pallister-Hall results from an autosomal dominant mutation of the gene-regulator GL13. In addition to hypothalamic hemartoma, children with Pallister-Hall can have polydactyly, cutaneous syndactyly, bifid epiglottis, kidney abnormalities and an imperforate anus.

Recommended For You

About the Author: Naoum P. Issa MD PhD