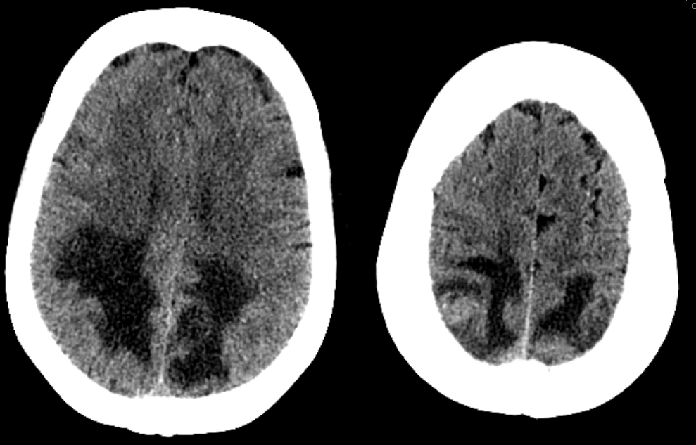
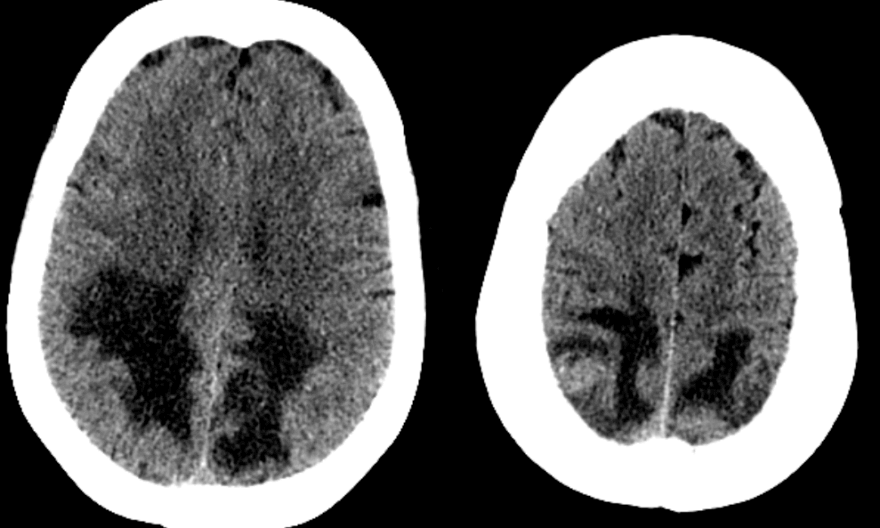
Case history: 55 year old female with history of lung adenocarcinoma presents with difficulty seeing. She was treated with carboplatin and paclitaxil two months prior to admission. CT head showed hypodensities in bilateral posterior white matter, as shown below. What is your diagnosis?

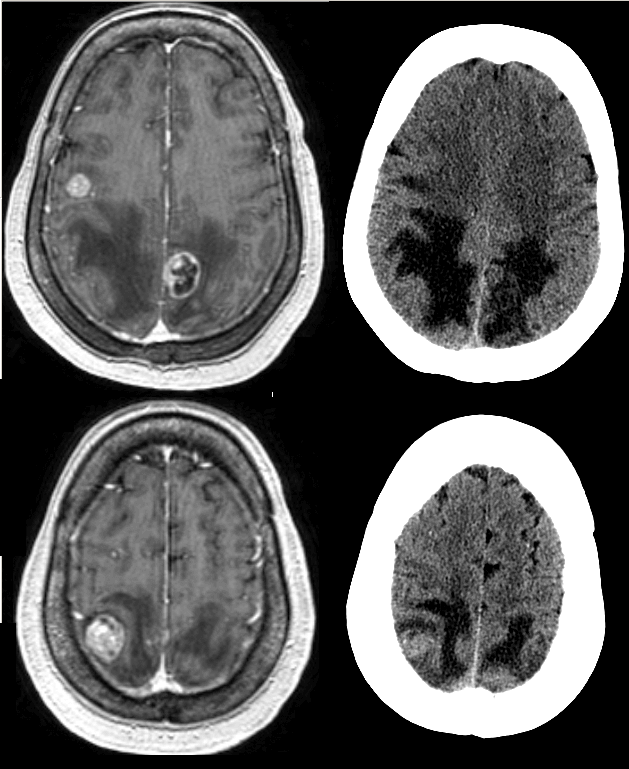
Initial interpretation based on posterior hypodensity was like PRES (Posterior Reversible Encephalopathy Syndrome) especially given recent paclitaxel and carboplatin use (both of which have been associated with PRES). Subsequent MRI with and without contrast, however, showed multiple enhancing lesions, suggesting metastatic disease without PRES.
