Schizencephaly

Schizencephaly

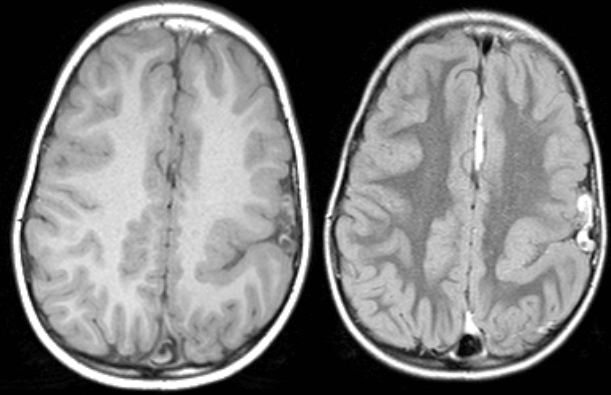
Schizencephaly is a developmental abnormality in brain structure consisting of a cleft from the pia into brain parenchyma, lined by heterotopic gray matter.

 

Schizencephaly

Clefts that connect with the lateral ventricle are “open lip” schizencephaly and clefts that do not connect with the ventricle (like that shown in the image above) are closed lip.

The clefts are often non-functional, causing paralysis if they are in a motor area.

Seizures are common in these patients. The abnormal sulcus can produce a horizontal dipole on EEG, sometimes causing difficulty in localizing a seizure locus.

Recommended For You

About the Author: Naoum P. Issa MD PhD