Schizencephaly

Schizencephaly

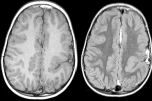
Schizencephaly is a developmental abnormality in brain structure consisting of a cleft from the pia into brain parenchyma, lined by heterotopic gray matter. Read more »

Cobalamin Deficiency

Vitamin B12, also known as cobalamin, plays an important role in a number of physiological functions, Its deficiency has been associated with macrocytic anemia and number of neuropsychiatric disorders. Further, at the... Read more »

Wilson’s Disease

Wilson disease is an autosomal recessive disorder of copper metabolism. Patients with the disease experience excessive deposition of copper in the liver, brain, and other tissues. It appears that the primary defect... Read more »

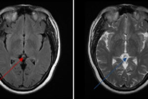
Pineal Cyst

The pineal gland is a small (6-8 mm) midline endocrine structure, partly responsible for the production of serotonin , a neurotransmitter responsible for the modulation of “mood”, expressed by its effect on... Read more »

Germinoma

Tumors of the pineal gland can be categorized into pineal cell and germ cell depending of their cell type of origin. Germ cell tumors (GCT’s) are more common than pineal cell tumors.... Read more »
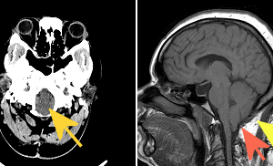
Chiari malformation Type 1

Chiari Malformation

Arnold Chiari 1 malformation is a congenital anomaly of the brain parenchyma characterized by descent of the cerebellar tonsils below the foramen magnum due to a mismatch between the size of the... Read more »
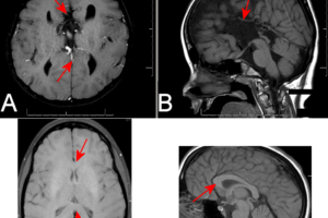
corpus callosum mri

Corpus Callosum Agenesis

In this case, images show a congenital malformation in which the corpus callosum, which connects the left and right cerebral hemispheres, failed to develop. While this abnormality is rare, there are many... Read more »