Arnold Chiari 1 malformation is a congenital anomaly of the brain parenchyma characterized by descent of the cerebellar tonsils below the foramen magnum due to a mismatch between the size of the posterior fossa and the cerebellum. Chari 1 malformation differs from the milder tonsillar ectopia (low lying cerebellar tonsils that do not meet criteria for Chari 1) by the degree of descent (greater than 5 mm below the foramen magnum in Chari 1), the morphology of the tonsils (pointed or peg shaped in Chiari 1) and by the presence of a syrinx in the cervical cord (see in up to 75% of Chiari 1 patients). Because of the association with syrinx, it is important to image the spine when a Chiari 1 malformation is suspected.
Diagnosis: Chiari 1 malformation

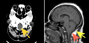
Figure 1: (A) non contrast head CT with parenchymal fullness in the region of the foramen magnum due to the low lying position of the cerebellar tonsils (orange arrow). (B) Sagittal non contrast T1 weighted brain MRI redemonstrates the low lying position of the cerebellar tonsils more than 5 mm below the expected position of the foramen magnum (red arrow). There has been a suboccipital crainectomy (yellow arrow).
In the acute setting, descent of the cerebellar tonsils may be due to tonsillar herniation from increased intracranial pressure “pushing” the tonsils downward (e.g. a cerebellar metastasis or hemorrhage) or from decreased intracranial pressure due to intracranial hypotension (e.g. CSF leak) “pulling” the tonsils downward.
Although many patients are asymptomatic, Chiari 1 can present with occipital headaches and exacerbation of headaches with valsalva. Treatment for patients with symptomatic Chiari 1 or syrinx is usually suboccipital “decompressive” craniotomy.
Selected References:
Consensus conference on Chiari: a malformation or an anomaly? Scoliosis and others orthopaedic deformities related to Chiari 1 malformation. Colombo LF, Motta F. Neurol Sci. 2011 Dec;32 Suppl 3:S341-3. Review.