Labyrinthitis

Labyrinthitis is an inflammation of the bony labyrinth that impacts on the function of both the vestibular and auditory systems. Inflammation has a variety of potential causes, and therefore there are mulitple potential etiologies in the differential diagnosis of labyrinthitis.

Presentation of acute labyrinthitis

  • Balance problems (vertigo with nystagmus, nausea, dizziness)
  • Hearing loss (monaural or binaural)
  • Tinnitus (subjective)
  • Often preceded by an upper respiratory infection or otitis media
  • Nystagmus towards unaffected ear
  • Reduced caloric response in affected ear

Viral labyrinthitis

  • Hearing loss always present (differentiates from vestibular neuritis)
  • 50% of cases follow URI
  • Onset acute, lasts days to weeks (residual problems up to months)
  • Ramsay-Hunt syndrome
    • Herpes zoster infection of labyrinth: Burning pain & vesicular rash of external auditory canal followed by typical symptoms of labyrinthitis

Bacterial labyrinthitis

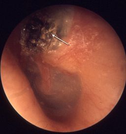
Cholesteatoma

  • Typically secondary to otitis media or meningitis
  • Bacterial infection
    • Suppurative labyrinthitis; usually spread into bony labyrinth from invading cholesteatoma (see cholesteatoma image to the right)
  • Inflammatory mediators (bacterial toxins)
    • Serous labyrinthitis
    • Mediators cross round window membrane and common sequela of otitis media     

Autoimmune labyrinthitis

  • Uncommon
  • Can be either local or secondary to systemic autoimmune disease (eg. Wegener granulomatosis, polyarteritis nodosa)
  • Typically bilateral and progressive over weeks to months
  • Diagnosis based on clinical response to steroid therapy

Recommended For You

About the Author: Jeffrey Waggoner MD