Orbital pseudotumor is the most common cause of a painful orbital mass in adults. It is a mass comprised of inflammatory cells (lymphocytes, macrophages etc) and fibrosis, is typically unilateral and infiltrative.
Diagnosis: Orbital pseudotumor


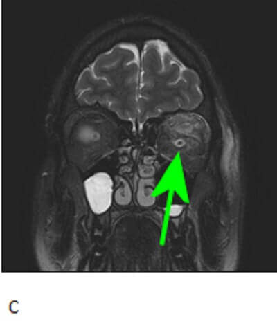
Figure 1: Red arrow. T1 pre (A) and post (B) contrast images demonstrate an ovoid T1 hypointense homogenously enhancing mass involving the superior lateral retro-orbital space with surrounding fat stranding as seen on the T2 fat saturated coronal images (C) . The mass is separate from the optic nerve (green arrow) but difficult to separate from the superior rectus.
However, it can be pleomorphic (like this case), can involve any part of the orbit and is often T1 hypointense and enhancing. Orbital pseudotumor can be difficult to distinguish from lymphoma, although the latter is typically bilateral. Unlike thyroid ophthalmopathy, pseudotumor does not spare the tendinous insertions of the extra-ocular muscles. Pseudotumor typically responds well to steroids. Atypical features or poor steroid response may require biopsy to exclude other etiologies.
Note that orbital pseudotumor is completely unrelated to pseudotumor cerebri.
References
Idiopathic sclerosing orbital inflammation: a review of demographics, clinical presentation, imaging, pathology, treatment, and outcome. Pemberton JD, Fay A.Ophthal Plast Reconstr Surg. 2012 Jan;28(1):79-83. Review.